公众版
员工版
互联网医院
English
医院首页
医院概况
新闻中心
就诊指南
科室专家
护理天地
健康科普
互联网医院
 
您当前的位置 : 天津市肿瘤医院  >  临床科室  >  脑系肿瘤科  >  学科动态
 
枕骨大孔区肿瘤的外科治疗
 时间: 2014-03-21  来源: 天津市肿瘤医院
 
  

  枕大孔区肿瘤以良性居多,但由于病变位置深在,与重要血管神经结构关系密切,临床表现又缺乏特异性,故位于该区特别是脑干腹侧肿瘤的诊断、治疗一直是神经外科医生面临的挑战之一。

  枕大孔区是一个立体空间概念,前界上起自斜坡下1 /3,下至枢椎椎体上缘,后界上起自枕骨鳞部前缘,下至枢椎棘突,侧方上起颈静脉结节,下至枢椎椎板上缘。在枕大孔区内穿行的结构包括:脑干尾侧和颈髓的嘴侧,后组颅神经和部分颈神经,椎动脉及其分支以及颅颈交界区的静脉丛和硬脑膜窦。

  常见髓内肿瘤主要有星型细胞瘤和室管膜瘤。髓外硬膜下肿瘤多为良性,以脑膜瘤和神经鞘瘤常见。硬膜外肿瘤主要有脊索瘤和转移瘤。亦可见到一些少见肿瘤的个案报道,如表皮样囊肿,脉络丛乳头状瘤,血管母细胞瘤,恶性黑色素瘤等。所有髓外肿瘤中脑膜瘤的发病率最高,神经鞘瘤和脊索瘤次之,上述三种肿瘤发病率的总和相当于枕大孔区所有肿瘤的80%左右。

  枕大孔区肿瘤好发于女性,男女比率约为1:1.4。患者以中年以上多见,平均发病年龄在40--55岁之间。就诊前症状持续时间相对较长,从平均12.1--30.8个月不等。

  患者临床表现复杂多样,缺乏特征性的症状体征,因而容易误诊为颈椎病等。常见症状和体征包括头颈痛、肢体无力、感觉缺失、吞咽困难等,头颈部疼痛最常见,常为首发症状,多为锐痛,头颈运动时疼痛加剧。继而可出现深感觉即关节位置觉、震动觉的丧失和肢体的强直痉挛、无力,多先发生于同侧上肢,而后呈顺时针方向影响四肢。其中上肢位置觉、震动觉不对称性缺失具有相对特异性。后组颅神经中舌咽、迷走和舌下神经常受累,副神经症状少见,可表现为吞咽困难、言语不利、间歇式呼吸,亦有以口腔溃疡为首发症状的报道。椎基底动脉系统由于受肿瘤压迫、牵拉可表现短暂性或周期性症状,如跌倒发作、偏头痛等。

  枕大孔区肿瘤的手术被视为神经外科领域的挑战之一,手术旨在不损害病人远期生活质量的前提下尽量做到全切除肿瘤。手术难度大,风险高,需要手术医师具有丰富神经外科解剖知识、娴熟的手术技巧及丰富的手术经验。

  我院脑系肿瘤科近年来成功完成枕骨大孔区肿瘤20余例,90%的肿瘤获得全切,术后无严重并发症出现,疗效满意。

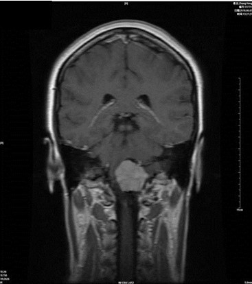
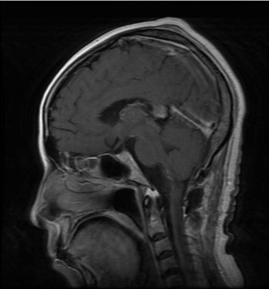
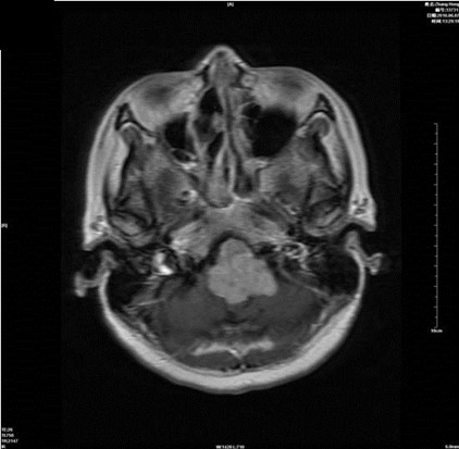
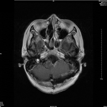
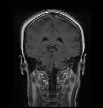
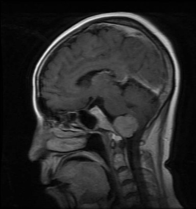
  病例一:张**。女性,52岁。查体发现枕骨大孔区占位入院。临床诊断:枕骨大孔区腹侧脑膜瘤。术式:远外侧入路。术后病理脑膜瘤。

  术前

  术后

  术前

  术后

  术前

  术后

  病例二:王**,男性,53岁。因做小脑肿瘤术后9年,头痛头晕,伴颈部疼痛、走路不稳半年入院。入院诊断:延颈交界血管网织细胞瘤。术式:后正中入路延颈交界区血管网织细胞瘤切除术。术后病理:血管网织细胞瘤。术后头痛头晕,颈部疼痛消失,走路平稳。

  术前

  术后

  术前

  术后

  术前

  术后

  术中切除的肿瘤组织

 
 
 
 
法律声明 | 联系我们
Copyright @ 2005 Tianjin Medical University Cancer Institute and Hospital. All rights reserved.
天津市肿瘤医院(天津医科大学肿瘤医院) 版权所有 津教备0005号 津ICP备05002861号
中文域名:天津市肿瘤医院.公益 天津医科大学肿瘤医院.公益