公众版
员工版
互联网医院
English
医院首页
医院概况
新闻中心
就诊指南
科室专家
护理天地
健康科普
互联网医院
 
您当前的位置 : 天津市肿瘤医院  >  临床科室  >  脑系肿瘤科  >  学科动态
 
脑干肿瘤的外科治疗
 时间: 2012-02-15  来源: 
 
  

  脑干是神经核团及传导束非常集中的区域,是全身感觉传递给大脑及大脑指挥全身的重要枢纽,与人的意识、呼吸、心跳密切相关。由于脑干肿瘤手术治疗可能会导致严重的神经功能损害,甚至威胁病人生命,该区域以往被认为是手术禁区。然而随着显微手术技术的进步,禁区被突破,已有许多病人的脑干肿瘤被手术切除,术后取得良好的生活质量。

  生长于脑干的肿瘤临床症状复杂、多样,与肿瘤的发生部位、类型及恶性程度等有密切关系。其轻重程度悬殊很大,症状的严重程度有时和肿瘤的体积不成正相关,部分病人虽然体积很大但症状很轻。脑干肿瘤的多数患者起病缓慢,头痛不甚明显,逐渐出现脑神经麻痹,其中以展神经麻痹较为常见,以后相继出现面瘫、吞咽困难、发音障碍、锥体束损害、步态不稳和共济失调等。典型病例常表现为“交叉性瘫痪”。

  脑干常见的肿瘤有胶质瘤、室管膜瘤、血管网织细胞瘤。除了肿瘤以外,常见的血管病为海绵状血管畸形。脑干占位性病变老年人少见,其他年龄组均可发生。

  脑干肿瘤的手术治疗不同于颅内其他部位的肿瘤,因其特殊的解剖部位及功能特点具有他的独特性,对于脑干肿瘤的外科治疗争议较多,仍然有很多重要的问题尚未解决,多数肿瘤被认为是不能切除的或无法治疗的。天津医科大学附属肿瘤医院脑系肿瘤科科主任李文良教授指出:尽管肿瘤深在,位于脑重要结构区,但仍有些肿瘤是可以暴露的,对于良性或低度恶性,局限性边界清楚的肿瘤是可以手术全切除的,且可以达到良好的治疗效果和生存质量。对一些恶性肿瘤可起到减少瘤体积,减轻症状,为下一步综合治疗创造机会。

  李文良教授多年来潜心研究脑干肿瘤的生长特性及显微外科手术技巧,近5年来成功手术切除脑干良恶性肿瘤30余例,均达到令人满意的治疗效果,无一例术后严重并发症发生,得到患者与家属的一致好评。

  李文良教授认为肿瘤能否全切主要依据肿瘤与脑干间是否存在可以鉴别的界面,局限性的脑干胶质瘤大多与正常脑组织有一薄层胶质增生带,切到胶质增生层既应停止切除,以免损伤正常脑干组织,造成严重的后果,所以准确的判断胶质增生带是决定肿瘤切除程度的关键。只要局限性生长,胶质增生带明显,无论肿瘤大小如何均应尽可能的切除肿瘤,这是决定病人预后的关键。对恶性肿瘤手术仍有残留的术后放化疗是必要的。

  天津医科大学附属肿瘤医院脑系肿瘤科是一个以李文良教授为核心具有丰富临床经验和娴熟手术技巧的神经肿瘤治疗团队,先进的显微神经外科手术设备;术中的电生理检测;术前、术后科学的监护管理也为脑干肿瘤的手术治疗提供了保证。我们相信有很多脑干肿瘤患者是可以通过外科手术治疗受益的。

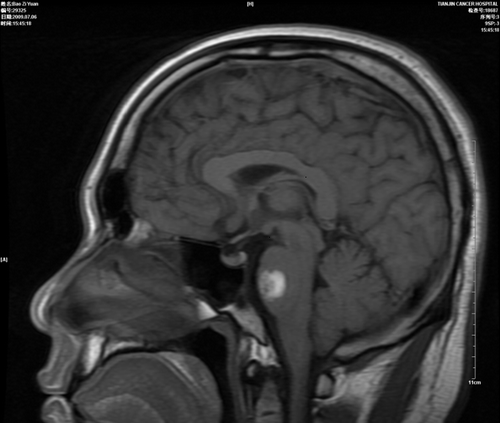
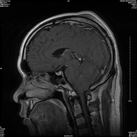
  海绵状血管瘤:

  手术前

  手术后

          胶质瘤:

  

  手术前

  手术后

   

  

  

 
 
 
 
法律声明 | 联系我们
Copyright @ 2005 Tianjin Medical University Cancer Institute and Hospital. All rights reserved.
天津市肿瘤医院(天津医科大学肿瘤医院) 版权所有 津教备0005号 津ICP备05002861号
中文域名:天津市肿瘤医院.公益 天津医科大学肿瘤医院.公益